各がんの診療内容
なぜ口腔ケアが、がんの治療と関係あるのでしょうか?
口の中には600~700種類と言われる非常にたくさんの細菌が生息しています。特に、歯の表面に付着している歯垢(デンタルプラーク)は細菌の塊であり、1グラム中に数千億個~数兆個の細菌(なんと大便と同等~10倍!)がいると言われています。
また、舌の表面には非常に多くの凹凸があり、その表面積はテニスコートの約1/2もあるため、舌にも非常に多くの細菌が生息しています。最近の研究で、それらの細菌(特に歯周病菌を中心とした悪玉菌)が虫歯や歯周病を起こすだけでなく、全身に悪影響を及ぼすことがわかってきました。
例えば、血液中に入り込んで動脈硬化を起こし、脳梗塞や心筋梗塞のリスクを高めたり、歯肉の炎症によって糖尿病を悪化させたり、気管の中に入って肺炎を起こしたり、手術後の傷の感染に関係したり、あるいは、発がんとの関連を指摘する研究もあります。したがって、口の中を常に清潔に保つことは全身の健康にとって極めて大切なのです。ところが、自分で丁寧に歯磨きしているつもりでも、実際には多くの歯垢を取り残してしまうのが現状です(ある調査では、丁寧に歯磨きしても歯垢の約40%を取り残していました)。
また、歯石などは全く自分で取ることができません。したがって、手術をしたり、抗がん剤や放射線治療を行う際には、特に体の抵抗力が弱りますから、自分で丁寧に歯磨きをするだけでは不十分です。必ず、歯科で専門的な口腔ケア(口腔内クリーニング、ブラッシング指導、虫歯や歯周炎の応急処置、義歯の調整など)を受けてください(図1)。

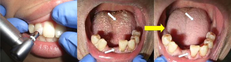
【図1】がんの治療が始まる前に、歯科でお口の中を徹底的にクリーニングしてもらいましょう。また、効果的なブラッシング法について指導を受けましょう。
歯科で専門的口腔ケアを受けると、口腔内の細菌数を大幅に減少させることができます(図2)。術前や術後に、専門的口腔ケアを受けて、口の中を可能な限り清潔に保つことができた人は、手術後の合併症(傷の感染や肺炎など)が少なく、結果的に入院日数が短縮できることが分かりました(図3、図4、図5)。
さらに、まれに起こる手術中の歯のトラブルとして、動揺のある弱い前歯が脱臼したり折れたりすることがありますが、そのリスクを最小限にするために、マウスピースを作って弱い歯を保護することも大切な術前の口腔ケアです。

【図2】初回の専門的口腔ケアによって菌数が最大1/100まで減少し、2回目、3回目ではさらに漸減しました。
術後合併症(%)

【図3】手術の前に専門的口腔ケアを受けた人は、頭頚部がんの術後合併症(肺炎、創部の感染など)が大幅に減少しました。
(大田洋二郎:がん治療による口腔合併症の実績調査及びその予防法に関する研究. 厚生労働省がん研究報告集)
術後入院日数(日)

【図4】手術の前後に専門的口腔ケアを受けた人は、手術後の入院日数が短縮しました。
(大西徹郎ほか:周術期における口腔ケアの有用性についての研究、看護技術)
感染性合併症

術後入院日数

【図5】手術の前に専門的口腔ケアを受けた人は、膵臓がんの術後合併症(手術部位の感染など)が少なく、結果的に入院日数が大幅に短縮しました。
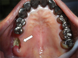
抗がん剤の副作用によって、口の中の感染症(重症の口内炎、カンジダ症)や、歯肉出血、虫歯や歯周病の悪化、併用薬剤による難治性の顎骨壊死(図6)などが起こり易くなります。
特に口内炎は、抗がん剤治療を行った人の約40%に生じ、その中で約半数は重症化するため、抗がん剤の投与スケジュールや投与量の変更を余儀なくされると言われています。さらに、抗がん剤によって体の抵抗力が弱った時に口内炎があると、菌が全身に感染して命を脅かす危険な状態(敗血症)になるリスクが、口内炎の無い場合と比較して4倍も高いことが分かっています。
口内炎は程度によってグレード別に分類されています(表1)。グレード1や2の場合、何とか食事が可能ですが、グレード3(重症)になると食事が摂れなくなるため、入院治療が必要になります。抗がん剤治療を受ける前から、専門的口腔ケアを開始して継続すれば、口の中に起るこれらの合併症が重症化するのを予防することができます。

【図6】抗がん剤治療中に生じた顎骨壊死
【表1】口内炎の重症度による分類
| グレード1 | 軽い粘膜炎 | 口の中がざらざら のどに違和感 |
| グレード2 | やや強い粘膜炎 | 口の中がひりひり痛い 飲み込むときに痛い 食事はできる |
| グレード3 | 強い粘膜炎 | 口の中が痛くて話せない 痛くて飲み込めない 食事ができない |
特に頭頚部の放射線治療を受けると、口の粘膜や唾液腺、さらに顎の骨が障害を受けて、口内炎、口腔乾燥、虫歯の多発、顎骨の骨髄炎などが起こり易くなります。頭頚部がんの29~66%に重症(グレード3以上)の口内炎が発症し、頭頚部の放射線治療で口内炎が発症すると体重が約5%減し、16%の人が入院治療を要し、11%の人が治療の中断を余儀なくされるとの報告もあります。したがって、放射線治療の前から専門的口腔ケアを受けて、治療中も継続し、口の中のトラブルを最小限に抑えることが大切です。なお、放射線によって一度ダメージを受けた顎の骨は回復が難しく、歯を抜いた後で骨髄炎を発症するリスクが放射線治療後も長く続きますので、状態の悪い歯はできるだけ放射線治療の前に処置(あるいは抜歯)しておくのが安全です。
県立広島病院は、2008年から全国に先駆けて、広島県歯科医師会と協同して口腔ケアの連携システムを構築してきました。現在広島県内に820人の認定協力歯科医がいて、がん治療に関連した専門的口腔ケアを受けることができます。
外来通院中はかかりつけ歯科(連携歯科医療機関)で専門的口腔ケアを受け、入院中は院内の歯科で受けることも可能です。
PAGE TOP