各がんの診療内容
乳がんは、女性の“がん”の中で、欧米諸国と同様、日本でも増加しており最もかかりやすい“がん”です。日本では毎年9万人以上の女性が発症しています。乳がんの治療は、手術やホルモン療法、抗がん剤治療、放射線治療などを組み合わせておこなうため、その専門性が要求される病気です。乳がんは、あらゆる“がん”の中でも早期発見されやすく、かつ治療効果が高いため適切な治療を行えば根治が可能です。また、新しい治療薬の開発により転移・再発された患者さんにも多くの治療の選択肢があります。
乳がんの初期症状のほとんどは乳房のしこりですが、大きさが1センチを超えて初めて触れることが多いです。
しこりがそれよりも小さい場合は、マンモグラフィー、超音波検査を行わなければわかりません。乳がんを早期に見つけるためには、マンモグラフィー、超音波検査による乳がん検診を行うことが大切です。
その他の症状としては、乳首から血性の分泌物、乳房の皮膚のへこみ、左右の乳頭位置の偏り(かたより)、などがあります。これらの症状を見つけたら、乳腺外来を受診してください。

図1 乳がんの症状
当院の乳腺外来は、乳がん学会乳腺専門医、日本がん治療認定医機構がん治療認定医、マンモグラフィー・超音波読影認定医の全ての資格をもつ医師が担当しています。検査結果は患者さんと一緒に確認し、その場で説明します。
マンモグラフィー検査のご案内(動画)マンモグラフィーは乳房のレントゲン写真ですが、乳房を機械にはさんで撮影するため、圧迫が必要です。検査に強い不安がある方、痛みに弱い方は検査の担当者に、あらかじめお申し付けください。
超音波検査は高濃度乳房の検査やマンモグラフィーができないときにも威力を発揮する検査で、検査の時の病変の場所の確認にも用います。
マンモグラフィー、超音波検査とも女性の技師が担当しています。
図2 マンモグラフィーでのみ分かる病変(小さな石灰化 白い点)

図3 超音波検査

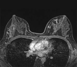
図4 MRI画像


マンモグラフィーや超音波検査で悪性が疑われる場合や、乳がんの拡がりを判断する必要がある時には、精密検査としてMRI検査(要予約)を行います。
触診や超音波検査(エコー検査)ではわからず、マンモグラフィーだけでわかる石灰化を含む精査が必要な病変については、ステレオガイド下マンモトーム生検(要予約、日程は診察時に調整)を行っています。
県立広島病院は日本乳癌学会認定施設であり、「広島乳がん医療ネットーワーク」の周術期治療病院(手術を含む集学的治療を担当する病院で、県内に14施設)にも認定されているように、広島県の乳がん治療の中核を担っています。
1)診断、2)手術(乳房内視鏡手術、乳房再建術、遺伝性乳癌卵巣癌症候群における予防的乳房切除を含む)、3)薬物療法、4)放射線治療の乳がん治療のすべてが、それぞれの分野の専門医により高いレベルで行われており、形成外科による乳房再建も全面的に対応できます。また、当院は遺伝性乳癌卵巣癌症候群における予防的乳房切除にも対応しております。2023年からがんゲノム医療中核拠点病院として、高度ながんゲノム医療の体制をとっております。乳がん患者さんにもカウンセリングを含めたBRCA1/2遺伝学的検査、遺伝子パネル検査など可能な体制で診療しています。治療後のフォローアップは地域の医療機関との術後連携パスを導入し、スムーズなフォローアップを心がけています。

当院での乳がんの手術件数は年々増加傾向です。
乳房部分切除術においては可能な限り創を目立たせず、残った乳房の形を可能な限り自然な状態になるよう整要性を保つことを心がけています。乳房全摘術が必要な場合でも、形成外科常勤医が2名いることにより、患者さんの希望に応じた乳房再建方法を選択し、再建術を行うことができます。
手術前にリンパ節転移がないと診断された場合は「センチネルリンパ節生検」を行います。
一定数以上のリンパ節転移が認められた場合は「腋窩郭清術」を行います。手術後は、リンパ浮腫予防のための日常生活においての注意点などのアドバイスを含めたリハビリを行います。

当科は乳房再建術、遺伝性乳癌卵巣癌に対するリスク低減予防的乳房切除にも対応しています。

手術の方法は患者さんと納得いくまで話し合い、できるだけ傷を小さく目立たないように手術をすることを心がけています。そのために内視鏡補助下手術を積極的に行い、ほとんどの乳房部分切除術(温存術)は乳輪縁からの切開か、腋からの切開で行っているため術後も傷が目立たないよう配慮しています。
図7 乳房温存術(がんを中心に円筒状に切除します)(下図)
点線で囲まれた腫瘍を乳輪と腋の2か所の傷から手術します(上図)


図8 内視鏡補助下手術のための機器


乳がんが大きくなってくると、がん細胞はリンパ液の流れに乗って拡がって行きます。これをリンパ節転移といます。そして一番にたどりつくリンパ節をセンチネルリンパ節といいます。手術前に乳輪周囲に放射性同位元素や青い色素を注射することにより、図9のようにセンチネルリンパ節が見つかります。このリンパ節を手術中に摘出し、病理検査を行い、転移が無かった場合、その下流にある腋窩リンパ節郭清を省略することができます。郭清を省略することにより手術後のリンパ浮腫の危険を減らすことができます。内視鏡補助下手術と組み合わせると、傷の小さなバランスの保たれた乳房を残すことが可能です。
図9 乳がんリンパ節転移の過程

センチネルリンパ節に99mTcが集積している画像


通常の乳房部分術(部分切除術)であれば、手術前日に入院し、手術翌日から食事を開始し術後3日から5日で退院となります。腋窩リンパ節郭清を行った場合や乳房切除術(乳房をすべて切除する術式)であれば、術後5日から1週間程度で退院となります。


乳がんの手術入院のスケジュール(再建術の場合は経過が異なります)

乳がんの薬物療法は再発予防の上で大きな役割をもっています。手術が可能な早期の乳がんにおいても、画像的にとらえることができない潜在的な微小転移を早期に根絶し、再発を抑え完治を目指すことを目的に薬物療法を行います。術後の再発や診断時に乳房以外に転移がみられる場合には、がんの進行を抑えて長くがんとつきあっていくこと、がんによって生じる症状を和らげることを目的に薬物療法を行います。乳がん薬物療法には、内分泌療法(ホルモン剤)、化学療法(抗がん剤)、抗HER2(ハーツ―)療法(HER2をターゲットとした分子標的薬)、その他の分子標的治療薬、免疫チェックポイント阻害薬があります。当院は日本乳癌学会認定施設であり、最新の乳癌診療ガイドラインに基づいた薬物治療を行っています。
表1 腫瘍のタイプと治療選択肢
HER2(ハーツー)蛋白 |
|||
陽性 |
陰性 |
||
ホルモン受容体 |
陽性 |
|
|
陰性 |
|
|
|
表1のように、ホルモン受容体とHER2蛋白の発現によって乳がんをサブタイプごとで使治療薬が決まります。さらに様々な因子から再発リスクを患者さんそれぞれで評価し、最善の効果が見込まれる薬物治療のスケジュールを提案していきます。化学療法はすべてのサブタイプにおいて選択肢となりますが、手術可能な早期の乳がんでは、病理学的因子から再発リスクが高いと予測される場合に術前あるいは術後に化学療法を行います。再発・転移のみられる乳がんにおいては最新の乳癌診療ガイドラインに基づいた薬物選択をしていきます。
乳がんの治療薬は新規開発、臨床試験によって治療成績は向上し続けています。乳がんの化学療法は、基本的に入院は必要なく外来で継続が可能であり、術前・術後の再発予防の治療だけでなく、手術不能な進行・再発乳がんの患者さんも治療を受けられています。抗がん剤の治療効果を最大限に出し、生活の質を最大限保つために、抗がん剤治療を専門とする医師(日本臨床腫瘍学会認定がん薬物療法専門医)、看護師(がん化学療法看護認定看護師、緩和ケア認定看護師など)や薬剤師(外来がん治療認定薬剤師など)等の専門・認定資格をもったスタッフで構成された化学療法チームがそれぞれの立場から副作用・合併症に対する支持療法についてわかりやすく説明し、安心して化学療法を継続していただけるように努めています。全身状態の悪い患者さんへの化学療法や副作用の治療、緩和ケアへの移行を念頭に置いた症状緩和などは、入院で治療することもあります。当院の緩和ケアチーム(緩和ケア専門医、緩和ケア認定看護師など)によりより専門的な緩和ケアを提供します。
また、最新の治療法や治療薬の開発を目指した臨床研究や臨床試験(西日本がん研究機構(WJOG)、がん臨床研究支援機構(CSPOR)、Japan Breast Cancer Research Group(JBCRG)など)、学会への参加を積極的に行い、新規化学療法の開発、化学療法の質の向上に努めています。


「乳がん」の広がりが広範囲であったり、多発しているなどの理由で乳房部分切除術が出来ない場合に、条件がそろえば患者さんのご希望に合わせて乳房再建を行います。当院では形成外科専門医が常勤し、乳腺外科と協力体制をとっています。乳がん手術と同時に行う同時再建(一次乳房再建)や乳がん手術後の方に対する二次乳房再建も受けることが出来ます。再建方法はご自身のお腹や背中の自家組織を移動して乳房を再建する方法と、シリコン製人工乳房(シリコンインプラント)を用いる方法の2通りがあります。
ご自身の皮膚・皮下脂肪・筋肉を使って乳房を再建する方法です。手術がほぼ一度で済むこと、一度治ってなじんでしまえば元々ご自分の身体ですので、ある程度自然な乳房になることが特徴です。
お腹の腹直筋という筋肉上の皮膚・皮下脂肪を移動する方法で、大きめの乳房再建に用いられます。腹直筋を一部採取する有茎腹直筋皮弁、腹直筋を全て温存した遊離深下腹壁穿通枝皮弁(DIEP flap/ディープフラップ)、および有茎腹直筋に血管吻合を追加して生着領域を拡大する方法など、状況により使い分けます。

背中の広背筋という筋肉上の皮膚・皮下脂肪を移動する方法で、やや小ぶりの乳房再建に用いられます。

2013年から保険認可となり、費用面の負担が大幅に少なくなりました。
組織拡張器(ティッシュ・エキスパンダー)というシリコン製の風船を手術の傷から胸に入れ、これを膨らませて皮膚を伸ばし、
半年後に人工乳房に置き換えるといった2段階の手術が一般的です。
自家組織と異なり、身体の健康な部分にメスを入れないので負担が少なくて済みます。
一方で身体に入れた後は被膜拘縮(人工乳房周囲に硬い膜が出来ること)や感染や破損の可能性があり、定期的な受診・検査が必要です。
また形や質感には、ある程度の妥協も必要となります。


乳がんの切除によって乳輪乳頭を失ってしまわれた方の再建も行います。
シリコン製の人工乳輪乳頭もありますが、手術によって形成することも可能です。

乳がん手術の時に同時再建を行う場合には、乳腺外科の主治医を通してご紹介していただいています。手術までの時間が限られていることが多いのですが、出来るだけ時間を掛けて丁寧に説明を行っております。今では様々な再建方法が選択できるようになり、それぞれに特徴があります。また患者さんによって向き・不向きもあります。一度にすべて決めるのではなく、納得できるまでよく考えることが大事です。手術後の二次再建の方で、当院以外で手術を受けられた方は、乳腺外科医の主治医に紹介状をご用意いただいております。
また乳房再建以外にも、乳がん手術後のきずあと、ケロイドやひきつれ、リンパ浮腫の相談・治療も行っています。
リンパ浮腫ケア外来の項目参照当院では女性の形成外科医師もおりますので、ご希望の方はお申し付けください。
形成外科のページ乳がん治療に伴い、将来の妊娠や出産を心配される方に対しては、生殖医療科と連携しながら治療を進めていきます。入院中は西7病棟の看護スタッフ全員が手術前後のケアや退院後の不安を少しでも和らげることができるよう日常生活支援を担当しています。また病院内には第1・3水曜日(予約制)にリンパ浮腫ケア外来(当院で手術を受けられた方が対象)があり、リンパ浮腫セラピストの小畠看護師がリンパ浮腫の予防・治療を担当しています。他にも様々な部門と連携しながらチーム医療を行っております。


兒玉 尚志医師
(生殖医療科 主任部長)
若年の乳がん患者さんは乳がんの治療(特に抗がん剤を中心とした治療)により、治療後の妊孕性(妊娠する能力)が低下し、不妊となる可能性があります。
このような患者さんのうち“がんを克服し、将来、妊娠出産を考えたい”と考える患者さんにとっては、抗がん剤や放射線などのがん治療によって生殖機能の低下を来す前に、妊娠する能力(チャンス)を残しておくこと(妊孕性温存)が重要となります。
当院では、乳腺外科と生殖医療科が連携し、妊孕性温存(卵子凍結、受精卵凍結、卵巣凍結)を積極的に行っています。
ただし、妊孕性温存はすべての患者さんに対して可能なわけではなく、基本的には乳がんの治療が最も優先されますので、乳がんの治療に支障を来さない範囲内で行うことが重要で、当科としては、乳がんの主治医の先生から妊孕性温存の許可が出た患者さんに対してのみ治療を行っています。
まずは、乳がんの主治医の先生と妊孕性温存に関して相談され、その上で、治療の説明を聞きたい、治療を受けたいとの希望があれば、生殖医療科を紹介していただき、当科での妊孕性温存の実際の治療について相談させていただきます。
(対象:当院で手術を受けられた方のみ)
腕や脚のむくみ(リンパ浮腫)は、乳がん・子宮がん・膀胱がん・前立腺がんなどの手術でリンパ節を切除された後や放射線治療を受けた患者さんに発症することがあります。リンパ浮腫は一度発症すると完全に治ることは難しく、一生付き合わなければならない合併症です。早期から生活の注意点を守り、適切な治療とセルフケアを開始することで症状を改善することができます。退院後に異常を感じたときは主治医に相談して、このリンパ浮腫ケア外来を受診することが可能です。


乳がんと診断される前の診療から関わり、乳がんの診断後も引き続いて患者さんに寄り添って乳がん治療の専門的ケアを行っています。具体的には乳がんの治療法を選択する際のサポート、通院治療に伴う合併症や副作用に対する専門的ケア、症状をご自身で緩和するためのセルフケアのための支援です。乳がんを治療するにあたり、病気のことだけでなく家庭や職場、ご家族や育児のことなどさまざまな悩みや問題が現れてきます。一緒に考えながら安心して医療が受けられるよう、きめ細やかな対応に心がけています。また病院内の他スタッフと連携しながら心のケアにも力を入れています。
乳がんの患者さんには食事に悩まれる方も多いと思います。当院では栄養指導を行っており、食事の悩みや疑問を相談いただけます。また、肥満は乳がんの再発リスク増加の一因とされており、栄養管理が大変重要です。

当院での乳がん治療が一段落された後のフォローアップ体制として「乳がん地域連携パス」を活用しています。「地域連携パス」とは、地域のかかりつけの先生と当院の医師が、患者さんの治療経過を共有し、継続した“切れ目のない医療”が受けられるための診療計画表です。かかりつけの先生の日常診療に併せて、乳がん治療の経過も診てもらえるため、通院回数や待ち時間など患者さんのご負担を軽くすることにつながります。連携病院がKBネット(県立広島病院と各医療機関を結ぶ、地域医療連携ネットワークシステム)参加医療機関であれば、当院での診療状況が連携病院で確認でき、より円滑に情報共有が可能となります。
また乳がんの手術後(退院後)に広島県が作成した「わたしの手帳」をお渡ししています。ご自身の状態を書きとめ、受診時には医師が経過を記録する“治療経過ノート”です。安心した治療を受けられるためにお役立てください。

(地域連携センター)

毎週、乳腺チームカンファレンスを行い、症例ごとの治療方針の検討をしています。
当院では、平成20年3月から「がんサロン」を開設しています。このサロンでは乳がんに限らず、すべてのがん患者さんを対象にしています。奇数月は前半が学習会、後半が交流会、偶数月は交流会となっています。このサロンは、患者さんとご家族、治療担当の医師が自由にコミニュケーションできる場になっています。お茶を飲みながら、医師、看護師も含めて交流できる機会を格段に増やすことにより、患者さんの不安を少しでも軽減できればと思います。
がんサロン予定表乳腺外来は、木曜日の手術日以外の平日に診療しております。初めて受診される患者さんの受付時間は午前8:30~11:00です。乳がん検診のための受診はお受けしていませんが、検診後に異常を指摘された場合は、紹介状もしくは検診結果を持って受診をしてください。もちろん、気になる症状のある方は遠慮なく受診してください。
紹介状が無くても受診できますが、紹介状があれば選定療養費は不要です。
外来診療担当医表(乳腺外来)ご興味のある方は「ひろしま乳腺超音波研究会」のFacebookをご覧ください。
「乳腺超音波診断カンファレンス」のお知らせを掲載しています。

セカンドオピニオン外来は、当院以外の医療機関で治療を行っている患者さんを対象に、当院の専門医師が現在の診断・治療に関して専門的な意見をご提供します。患者さんはその意見を基に、より適したご自身の治療法を選択していただくことができます。そして必ず元の医療機関にお戻りいただきます。そのため、当院での治療や検査をご希望される場合でも、相談後に元の医療機関にお戻りいただき、改めて当院での治療を希望する旨の紹介状を医師に書いていただくことになります。
ご準備いただく資料
お申し込み方法(完全予約制)
まず主治医にご相談され、紹介状を当院の地域連携室(紹介予約担当)にFAXしてください。セカンドオピニオン担当医師と相談日時を調整、あらためてご連絡いたします。
詳しくはセカンドオピニオン外来ページへ定期的に乳がん患者さんとそのご家族を対象とした「まちなかリボンサロン」が開催されています。当院の医療スタッフも参加することがあります。
どの病院で治療しておられる方でも参加できます。(詳しくは図をクリック・ご参照ください)
当院の検査の流れを動画で説明しています。
PAGE TOP