脳神経外科・脳血管内治療科
診療科紹介
主任部長
富永 篤
診療科の概要
脳神経外科・脳血管内治療科は脳腫瘍、下垂体腫瘍や脳動脈瘤、血管狭窄、脳梗塞、脳出血、頭部外傷、顔面痙攣、三叉神経痛など脳や神経、脊髄に関する外科的な病気全般の診断と治療を専門としています。顕微鏡を使った精密な手術に加え、血管内治療や神経内視鏡手術など、体への負担が少ない先進的な治療にも積極的に取り組んでいます。
対象疾患(対象とする疾患や症状)
・脳腫瘍
下垂体腺腫、髄膜腫、聴神経腫瘍、頭蓋咽頭腫、神経膠腫、松果体腫瘍、小児脳腫瘍、転移性脳腫瘍 など
・脳血管障害
脳動脈瘤、内頚動脈狭窄症、脳出血、脳梗塞、モヤモヤ病、脳動静脈奇形、硬膜動静脈瘻など
・機能性疾患
顔面けいれん、三叉神経痛など
・水頭症
正常圧水頭症、中脳水道狭窄症、脳出血後水頭症
・頭部外傷
慢性硬膜下血腫、急性硬膜下血腫、脳挫傷など
・小児奇形
二分脊椎、髄膜瘤、先天性水頭症、キアリ奇形など
診療内容
脳腫瘍、脳動脈瘤、脳卒中、頭部外傷、顔面痙攣や三叉神経痛など幅広い脳神経疾患に対応し、年間100例以上の脳腫瘍、180例以上の脳血管障害の手術を行うなど豊富な実績があります。
循環器内科、脳神経内科、心臓血管外科とともに脳心臓血管センターを運営しており脳卒中治療の包括的治療を行っています。
救急医療に迅速に対応しており、脳疾患の救急医療を積極的に受け入れています。
外来では血管内治療外来、下垂体脳腫瘍外来、セカンドオピニオン外来を設けています。
実施可能な検査
- 各種CT検査
3次元CT血管撮影(3D-CTA)perfusion CT - MRI検査
MR血管撮影(MRA)、MRspectroscopy、頚動脈プラークイメージ - 脳血管造影
回転3次元脳血管造影 - 頚部エコー検査
- 脳血流SPECT
当院の特徴的な医療(当院医師の専門分野、得意とする分野)
下垂体腫瘍の治療は経験症例数が豊富で、内視鏡手術による治療を行っています。
脳腫瘍に対してナビゲーションシステム、神経モニタリングを使用し低侵襲な手術を行っています。
脳動脈瘤に対するコイル塞栓術、フローダイバーター留置術、頚動脈狭窄症に対するステント留置術、脳梗塞に対する急性期機械的血栓除去術など脳血管内治療を積極的に行っています。
スタッフ紹介
富永 篤
脳腫瘍
脳卒中の外科治療
顔面痙攣・三叉神経痛
小児神経外科
日本神経内視鏡学会技術認定医
日本脳卒中学会専門医・指導医
日本内分泌学会専門医・指導医
広島大学医学部臨床教授
日本小児神経外科学会認定医
日本脳卒中の外科学会技術指導医

岐浦 禎展
脳動脈瘤・脳梗塞の血管内治療
日本脳神経血管内治療学会専門医・指導医
日本脳卒中学会専門医・指導医
日本頭痛学会専門医・指導医

尾上 亮
脳動脈瘤・脳梗塞の血管内治療
日本脳神経血管内治療学会専門医・指導医
日本脳卒中学会専門医・指導医
日本スポーツ協会公認スポーツドクター,PHICIS level2修了
TNTコース修了

下永 皓司
脳血管内治療
脳卒中の外科
日本脳神経血管内治療学会専門医・指導医
日本脳卒中学会脳卒中専門医
日本脳卒中の外科学会技術認定医

岡田 義央

橧井 孝太
実績紹介
過去7年間の診療実績は以下のとおりです。
| 2024年 | 2023年 | 2022年 | 2021年 | 2020年 | 2019年 | 2018年 | ||
| 手術総数 | 485 | 418 | 442 | 429 | 515 | 478 | 500 | |
| 脳腫瘍総数 | 89 | 100 | 96 | 96 | 101 | 113 | 100 | |
| 下垂体腫瘍 | 40 | 55 | 44 | 52 | 55 | 60 | 39 | |
| 髄膜腫 | 21 | 11 | 18 | 20 | 23 | 24 | 24 | |
| その他の腫瘍 | 28 | 34 | 34 | 24 | 23 | 29 | 37 | |
| 血管障害総数 | 190 | 168 | 179 | 169 | 227 | 197 | 192 | |
| 未破裂動脈瘤 | 31 | 42 | 34 | 33 | 45 | 44 | 36 | |
| 開頭手術 | 16 | 16 | 19 | 14 | 27 | 27 | 20 | |
| 血管内手術 | 15 | 26 | 15 | 19 | 18 | 17 | 16 | |
| 破裂脳動脈瘤 | 30 | 24 | 25 | 27 | 39 | 24 | 30 | |
| 開頭手術 | 12 | 8 | 7 | 14 | 18 | 8 | 18 | |
| 血管内手術 | 18 | 16 | 18 | 13 | 21 | 16 | 12 | |
| 血栓回収術 | 42 | 27 | 43 | 32 | 35 | 25 | 23 | |
| 頸動脈ステント留置術 | 16 | 21 | 22 | 21 | 25 | 24 | 28 | |
| その他の血管障害 | 71 | 57 | 55 | 56 | 83 | 80 | 75 | |
| 入院患者総数 | 760 | 688 | 766 | 683 | 752 | 827 | 768 | |
- 脳動脈瘤の複数年での手術成績です。くも膜下出血で開頭動脈瘤クリッピング(483人)では、社会~家庭内自立が67%であり、死亡は7%でした。
また、未破裂脳動脈瘤の場合、開頭クリッピング術(365人)と血管内治療によるコイル塞栓術(98人)において、日常生活に影響する永続的神経症状の出現は各々1.9%、2.0%で、死亡は0%、1.0%でした。 - 脳腫瘍の複数年(799人)での手術です。全摘出から亜全摘は74%でした。術後の神経症状として、術前から無症状のまま又は改善が66%、悪化11%、死亡0.25%でした。
- 下垂体腫瘍は過去7年で279件の手術を行いました。全摘出は86%でした。
教育・研修活動、認定施設
- 当院は、日本脳神経外科学会専門医訓練施設及び日本脳卒中学会認定教育病院、日本脳血管内治療学会認定研修施設として認可され、若手脳神経外科医の育成を行っています。全国や地方の学会発表や講演活動を(過去17年で500回超)しながら、最新の医療レベルの研鑽や地域への医療啓発活動を行っています。
- 当院では、日本脳神経外科学会による手術症例登録事業(JNR)に参加しています。
疾患に対する治療の説明
良性脳腫瘍
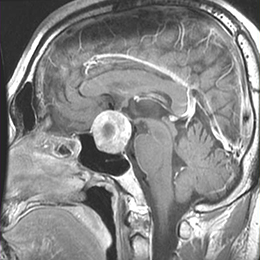
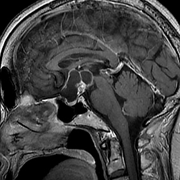
良性脳腫瘍は治療すべきか経過観察でもよいかを年齢や症状・全身状態を含め判断し、治療となれば全摘出を心がけています。手術にて障害が出やすい部位は特に注意が必要です。術前に機能的MRIで腫瘍と手足を命令する部位などの関係をさぐり、術中は神経障害を未然に示す神経モニターを使用しています。また摘出で障害出現が予想される時は、残存腫瘍に術後定位放射線治療を追加することもあります。腫瘍に流入する血管が多い場合は術中大出血の危険もあるため、術前に腫瘍血管塞栓術という血管内治療を行うことで出血量を抑えています。

良性腫瘍の手術前

手術後
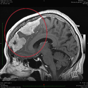
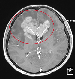
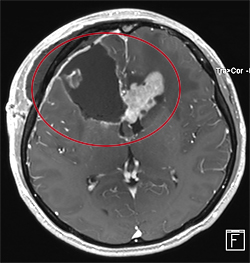
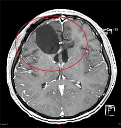
悪性脳腫瘍
悪性脳腫瘍は速やかに可及的摘出を行い、放射線や抗癌剤による治療を追加しています。転移性脳腫瘍では、全身状態も考慮し手術・全脳照射・ガンマナイフによる治療を使い分けています。強力な抗癌剤投与が必要な場合は、臨床腫瘍科に依頼しています。いずれも質の高い日常生活が営まれるように治療を配慮しています。

悪性腫瘍の手術前

手術後

放射線・化学療法後
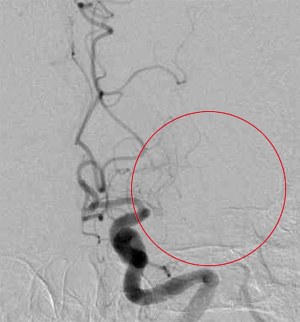
動脈瘤
動脈瘤については未破裂脳動脈瘤では治療がよいか、経過観察でもよいかを検討します。一方破裂した人(突発的な頭痛と吐き気の出現)は、クモ膜下出血となり再出血しやすいので緊急の治療を要します。破裂、未破裂にかかわらず治療に際しては、個人の状態により開頭クリッピング術とカテーテルを用いたコイル塞栓術のいずれか適切な方を選択しています。
これまで治療の難しかった内頚動脈の動脈瘤に、フローダイバイターを用いた最新のステント治療を行っています。

開頭クリッピングの手術前

開頭クリッピングの手術後

コイル塞栓手術前

コイル塞栓手術後
頚部内頚動脈狭窄
頚部内頚動脈狭窄は、まず外科的治療をした方がよいか、内科的治療でよいかを検討します。薬物だけでは脳梗塞予防が難しく外科的治療が必要であると判断された場合は、内頚動脈が狭くなった病変を取り除く血栓内膜剥離術、またはカテーテルによるステント留置術の適切な方を選択しています。頭蓋内の血管狭窄や閉塞では、手術適応を評価して適応に合えば血管吻合術(バイパス術)を行っています。

血栓内膜剥離術の手術前

血栓内膜剥離術の手術後

ステント留置の手術前

ステント留置の手術後
脳梗塞
脳梗塞については数年来急速に治療が進歩してきました。まず発症4.5時間以内はrt-PAの静脈内投与が可能です。急に手足が動かなくなった、言葉が難しくなったなどの症状が出現すると、1~2時間以内に救急車にて来院されることが望まれます。また、発症後8時間以内でも、rt-PAの非適応例・禁忌例や無効例には血管内治療を用いることも可能です。特にMerciやPenumbraを用いた血栓回収の血管内治療は著しい進歩をとげつつあります。
いずれにしても、このような超急性期治療にて神経症状の改善が得られると、その後のリハビリテーションや障害のある生活を免れたり軽減できます。

中大脳動脈が閉塞し片麻痺出現

Penumbraを用い再開通すると症状が消失した
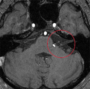
顔面痙攣・三叉神経痛
顔面痙攣・三叉神経痛についてはMRIで神経に血管の圧迫があるかをまず確かめます。症状を緩和する薬物療法でなく根治的治療を希望される場合は、神経血管減圧術を行います。治療効果や安全性が高まるような手技を心掛けています。

顔面痙攣で顔面神経に血管(白)が圧迫

立体的画像
脳下垂体とは
下垂体は眼の奥にある組織で、いろいろなホルモンを分泌しています。(下表参照)
| 成長ホルモン | 身長を伸ばす |
| 性腺刺激ホルモン(二種類) | 男性ホルモンや女性ホルモンを作る |
| プロラクチン | 乳腺を発育させる |
| 甲状腺刺激ホルモン | 甲状腺を調節する |
| 副腎皮質刺激ホルモン | ステロイド分泌を調節する |
| 抗利尿ホルモン | 尿量の調節をする |
| オキシトシン | 射乳や分娩に関与する |
これらのホルモンはヒトが生きていく上で大切なホルモンです。
また、下垂体の上には、視神経、視交叉という見る機能の神経、さらにその上には下垂体の機能を調節したり自律神経を統括する視床下部という脳があります。下垂体の両横には脳へ行く血液が流れる内頚動脈と脳から心臓にかえる血液が流れる海綿静脈洞があります。

下垂体腫瘍の種類
下垂体にできるできものはそのほとんどが良性腫瘍です。
下垂体腺腫
下垂体そのものから発生する腫瘍(下垂体腺腫)は99%良性腫瘍です。わずか1%で悪性の性格を持つものがあります。この下垂体から発生する腫瘍には「腫瘍がホルモンを産生するタイプのもの」と「ホルモンを産生しないタイプのもの」があります。ホルモンを産生する腫瘍の場合はこの腫瘍から産生されるホルモンの過剰症状がおこるため、比較的小さいうちに見つかるのですが、ホルモンを産生しないタイプの腫瘍の場合、こういった症状が無く、比較的大きくなりがちで、たいていの場合できものが視神経を圧迫して視機能障害が生じてから見つかることがほとんどです。

- ホルモンを産生する腫瘍
- 成長ホルモン産生腫瘍(先端巨大症)
- プロラクチン産生腫瘍(プロラクチノーマ)
- ACTH産生腫瘍(クッシング病)
- TSH産生腫瘍(甲状腺機能亢進症)
ラトケ嚢胞
袋状のできものです。MRIの検査などで偶然見つかることも多い腫瘍です。自然経過でひとりでに小さくなって消失することもあります。偶然見つかった場合、多くは大きさが変わらなかったり自然に小さくなったりするものです。時に大きくなって目の神経を圧迫して目が見えなくなったり、下垂体が炎症をおこして下垂体ホルモン分泌低下がおこることがあります。
詳しい説明はこちら頭蓋咽頭腫
ラトケ嚢胞と同じく袋を有するできものです。ラトケ嚢胞とは類縁の病気ですが、ラトケ嚢胞よりは腫瘍の性格をもっており、必ず短期間で大きくなります。
通常、目が見えなくなったりホルモン分泌低下により多尿が生じたり全身倦怠感や寒がりになるなどの症状が生じます。
詳しい説明はこちら
髄膜腫
下垂体そのものから生じる腫瘍ではありません。下垂体の近くの頭蓋骨にはりついている硬膜という膜から生じる腫瘍でやはり良性腫瘍です。
腫瘍が大きくなると視神経を圧迫して目が見えなくなります。下垂体ホルモンの分泌低下はあまりおこりません。治療による視機能障害の改善率は下垂体腺腫より低いので早めに治療をしたほうがよいです。

転移性腫瘍
ホルモン異常(特に多尿など)や視力障害などでみつかることが多いものです。
その他
胚芽腫という腫瘍や肉芽腫などの病気もあります。
下垂体腫瘍による症状
視力障害、視野障害
腫瘍が視神経を圧迫するために生じます。はじめは視野障害(目の見える範囲が狭くなる)が生じます。典型的には両目とも外側(耳側)がみえなくなります。これを両耳側半盲といいます。さらに症状が悪化すると視力低下が生じます。最終的には失明します。
下垂体ホルモン分泌過剰症
腫瘍が特定のホルモンを分泌する場合そのホルモン分泌過剰による症状が生じます。よく見られるのは
◎成長ホルモン過剰症
手足が大きくなる。こどもの場合異常に身長が高くなる。顔つきがかわる。あごが出てくる。いびきをかく(睡眠時無呼吸症候群の原因の一つです)。糖尿病、高血圧が生じる。
◎高プロラクチン血症
若い女性に多く、月経(生理)不順や不妊の原因になります。
◎副腎皮質刺激ホルモン過剰症
別名クッシング病ともいわれます。肥満が生じ、高血圧、糖尿病などが生じます。骨粗鬆症が急激に進行し腰椎骨折などが生じます。
下垂体ホルモン分泌低下症
下垂体からのホルモン分泌が低下すると寒がりになる。全身倦怠感が生じる。月経不順になる。肥満が生じる。多尿、頻尿になる。などの症状が生じます。
治療にはどんな種類があるのか
手術療法
ホルモンを産生しない腫瘍の場合、手術療法が第一選択です。ほとんどの場合経鼻的手術といって頭を切らずに鼻から手術を行うことができます。 腫瘍の種類と大きさによっては開頭手術が必要になることもあります。
<経鼻的手術>鼻の孔の粘膜を切って鼻の奥から腫瘍を摘出します。


- 鼻の穴から手術を行うので傷口は外からは全くわかりません。
- 顔が腫れることもありません。手術時間はおよそ2~3時間です。
- 手術翌日は手術前と同様に普通に動き回ることができます。
- 手術後1週間で退院できます。
◎手術の危険性について
経鼻的手術により生じうる合併症は様々ありますが、この手術によって死亡や意識障害や寝たきりなどを含めた重篤な障害が発生する危険性は1%以下です。軽微な合併症が生じる危険性は2~3%程度です。
当院のこの病気の担当医は過去1000例以上の手術症例を手がけ、重篤な合併症が生じた方はいません。
薬物療法
ホルモンを産生する腫瘍の場合、薬が効くことがあります。ただし、薬で完全に治すことはできません。多くの場合は手術療法の後に追加して行う治療です。
産生するホルモンによって有効な薬が違います。内服薬の治療と注射薬の治療があります。
放射線療法
腫瘍に放射線をあてて腫瘍が大きくならないようにする治療です。通常は手術後に追加治療として行います。現在大きく分けて2通りの方法があります。
◎ガンマナイフ、サイバーナイフ(定位的放射線治療)
ビーム状の放射線を1点に集中してあてる方法で治療期間が通常3日程度と短期間で可能です。近年、よく用いられます。大きな腫瘍にはあまり適していません。
◎ノバリス、IMRT
以前から行われている方法で、毎日少しずつの放射線を約1ヵ月かけて照射します。大きい腫瘍に適します。
それぞれの腫瘍の治療法
下垂体腺腫
◎ホルモン産生腫瘍
プロラクチン産生腫瘍以外ではまず手術療法で可能な限り腫瘍を摘出します。ほとんどの場合経鼻的手術で治療可能です。手術療法でとりきれなかった場合、薬物療法や放射線療法が追加治療として必要になります。
◎ホルモン産生しない下垂体腺腫
まず、可能な限り手術で腫瘍を摘出します。ほとんどの場合、経鼻的手術で治療可能です。大きな腫瘍の場合、2段階手術といって3ヵ月から半年の間をおいて2回の手術を行うことがあります。これにより安全に腫瘍を摘出することができます。腫瘍が非常に大きい場合やいびつな形をしている場合には開頭手術のほうが適していることもあります。
ラトケ嚢胞
手術で嚢胞を解放します。ほとんどの場合、経鼻的手術で治療可能です。
頭蓋咽頭腫
まず手術で可能な限り腫瘍を摘出します。経鼻的手術か開頭手術かは腫瘍の場所と大きさによります。採用する手術方法は経鼻的手術が50%、開頭手術が50%くらいです。完全に摘出すれば追加治療は不要ですが、この腫瘍は下垂体に強く癒着していることが多く、完全に摘出すると下垂体機能が低下することも多いため下垂体機能を残すために一部腫瘍を残して、手術後にガンマナイフなどの放射線療法を追加することもあります。
髄膜腫
手術で腫瘍を摘出します。多くの症例で開頭手術が必要です。小さな腫瘍の場合には経鼻的に手術できます。腫瘍の悪性度が高い場合などには放射線療法が必要となることもあります。
偶然見つかった腫瘍はどうすればよいのでしょう
最近は、MRI検査などで偶然下垂体腫瘍が見つかることも多くなりました。
このような偶発発見の腫瘍はどうすればいいのでしょうか。
充実性腫瘍(かたまり型)の場合
多くの場合は良性の下垂体腺腫です。まず、造影MRIを含めた詳しい下垂体の検査をする必要があります。また、ホルモン負荷試験という検査で下垂体機能を評価する必要があります。腫瘍が視神経に接している場合には視力や視野検査を眼科で行う必要があります。ホルモン負荷試験や眼科検査で異常がある場合には早めに手術した方がよいでしょう。
ホルモン負荷試験や眼科検査で異常がない場合、ただちに手術する必要はありません。しかし、良性とはいえ腫瘍ですから徐々に大きくなります。偶然見つかった場合の腫瘍の半数以上は5年の間に腫瘍増大が認められ、症状を呈するようになります。また、5年の間に約10%の人で下垂体卒中といって腫瘍の中に出血をきたし、突然視力障害が生じたり、激しい頭痛が生じたり、下垂体機能不全が生じ、失明やホルモン不足により生命の危険が生じることがあります。下垂体卒中を来した場合には、手術による症状の回復率は低いです。
このことから、ある程度の大きさであれば、予防的手術もよいでしょう。
偶然発見された、症状のない下垂体腫瘍の場合、手術において重篤な合併症発生は過去にありません。
また、手術しない場合には1年に1回くらいは定期的にMRI検査を行った方がよいでしょう。
嚢胞性腫瘍(袋状)の場合
多くの場合はラトケ嚢胞といわれる病気です。この病気は生まれつき持っている器官の一部から生じたものです。充実性(かたまり型)腫瘍と同様にまず造影MRIを含めた詳しい下垂体の検査をする必要があります。また、ホルモン負荷試験という検査で下垂体機能を評価する必要があります。腫瘍が視神経に接している場合には視力や視野検査を眼科で行う必要があります。
ホルモン負荷試験や眼科検査で異常があれば手術をしたほうがよいでしょう。
これらの検査で異常がない場合、手術をする必要はありません。
偶然見つかった袋状の下垂体腫瘍の場合、ラトケ嚢胞であればほとんどの症例で経過をみても嚢胞が大きくならないかあるいは自然に縮小や消失することもあります。大きくなって症状を呈することは数%程度です。
ただし、袋状の腫瘍には頭蓋咽頭腫などもまぎれていることがありますので、定期的なMRI検査などにより腫瘍の経過を見極める必要があります。
ご不明な点がございましたら下記までご連絡ください。
お問い合わせ
脳神経外科だより
脳神経外科だより(VOL.1)
1.三叉神経痛(さんさしんけいつう)
顔面の痛みには、特発性三叉神経痛、非定型的顔面痛、顔面や歯、脳の病気による痛みがあります。このうち、特発性三叉神経痛は、急で短い強い痛みが断続的に現れます。非定型的顔面痛は、持続的な顔の痛みがみられます。いずれも中高年の女性に多い傾向があります。このうち、特発性三叉神経痛についてお知らせします。
| 症状 | 突然、鼻や口の周囲などの一定の部位で激痛が生じ、数秒後には消失します。会話・食事・歯磨きなど、動きに伴って出現する特徴があります。歯の病気と間違われることもあります。 | |
| 検査 | MRIの特殊な撮影にて、三叉神経への圧迫血管をみることができます。 | |
| 原因 | 多くは、脳の中で三叉神経(顔の感覚の役割)に血管が圧迫し、拍動とともに神経を刺激して、痛みが出現します。その他、三叉神経の走行異常や腫瘍が原因のこともあります。 | |
| 治療 | 投薬など | テグレトールという薬を飲むことで、まずは効果が期待できます。ただし、ふらつきや吐き気、眠気の副作用が出る方や、増量しても効果が乏しい場合もあります。次いで、神経ブロックの方法もあり、数ヶ月間は効果があり得ます。これは、ペインクリニックの医師が良いです。欠点は、繰り返し注射を要することや、しびれなど神経障害を生じ易いことです。 |
| 手術等 | 手術的に神経に圧迫した血管を離す方法もあります。これは、90%は完全に痛みをとるという根治性があります。欠点は、手術という侵襲を要し、ごく稀に顔面感覚異常などの合併症もあります。最近は、ガンマナイフ治療という放射線治療の試みもなされつつあります。 | |
脳神経外科からの一言
- 基本的には、侵襲の少ない治療が良いようです。ただし、薬物や神経ブロックで不都合な場合や、日常生活が顔面痛のため支障をきたすようですと手術をお勧めします。
- 当科では、一部髪の毛を剃る方法で、15~20日程度の入院期間、入院に伴う実費は一般的な方で約9万円前後です。
2.顔面けいれん
顔面けいれんとは、眼の周囲でぴくぴくした筋肉の動きが生じ、やがて顔半分に及ぶものをいいます。自分で意識して動きを止めることができず、中年以降のやや女性に多い傾向があります。眼の周囲のみの場合は,眼瞼けいれんといって、原因は分かっていません。
| 原因 | 脳幹という脳から顔面神経(顔の運動の役割)が出る部分で、血管が圧迫し、血管の拍動が神経を刺激して顔が小刻みに動くようになります。 | |
| 検査 | MRIの特殊な撮影にて、顔面神経への圧迫血管を確認できます。 | |
| 治療 | 投薬など | 薬物は、一般に効果が乏しいです。現在は、顔面に注射する方法と手術があります。注射の場合は、ボツリヌス毒素というものをけいれんする筋肉に注入することで、3~4ヶ月間の効果が期待できます。欠点は、繰り返す必要があること、軽度顔面神経麻痺を生じ目薬を要することもあります。 |
| 手術等 | 手術の場合は、約90%はけいれんが消失するという根治性が利点です。欠点は、全身麻酔にて侵襲的であること、稀に術後聴力障害が生じるなどです。 | |
脳神経外科からの一言
- 三叉神経痛とは違って痛みという苦痛は伴わないので、軽い方は放置または注射で良いと思われます。
- 人前の仕事などで緊張すると顔面けいれんがとても気になったり、絶えず生じて日常生活に支障を生じる方、顔面神経麻痺を伴うようになる方は手術をお勧めします。
- 若い方は手術、高齢者は注射という選択もあります。
- 当科の手術入院は、三叉神経痛と同様ですが、一部髪の毛を剃る方法で手術に安全を図るための術中聴力モニターを行い、15~20日程度の入院期間、入院に伴う実費も一般的な方で約9万円前後です。
外来診療担当医表
予約のない方 8:30~11:15
脳神経外科・脳血管内治療科
* 紹介枠がある外来
| 受付 | 診察室 | 区分 | 月 | 火 | 水 | 木 | 金 |
|---|---|---|---|---|---|---|---|
| A | 9 | 午前 | 担当医 | ||||
| 10 | 午前 | 下永* | 富永* | 富永* | 富永* | 尾上* | |
| 午後 | |||||||
| 11 | 午前 | 岐浦* | 岐浦* | 担当医 | 岐浦* | 岡田 | |
| 午後 | 血管外来 | 岡田* | |||||
| 12 | 午前 | 檜井 | 尾上* | 下永* | |||
| 午後 | 檜井* |