特発性肺線維症
特発性肺線維症(Idiopathic Pulmonary Fibrosis)とは
特発性肺線維症とは、原因がわからない肺の高度な線維化をきたすのが特徴の病気です。肺胞の壁(間質)に線維化が起こると肺が固くなり、十分に膨らみにくくなるために、呼吸が上手くできなくなります。これが間質性肺炎で、感染症による通常の細菌性肺炎とは治療法が大きくことなるために区別されています。
間質性肺炎のなかでも原因が不明なものは特発性間質性肺炎と呼ばれており、国の難病に指定されています。その中で最も多いのが特発性肺線維症(IPF)で、呼吸器疾患のなかでは肺がんに匹敵する完全に治ることが難しい病気です。

特発性肺線維症の症状
特発性肺線維症の初期症状は、空咳(痰のない咳)、からだを動かしたときの息切れです。症状が進行すれば、着替えや入浴などの少しの動作でも息切れが出るようになります。指の先が、太鼓のばち状に太くなる「ばち指」が認められる場合もあります。



爪が丸くなる
特発性肺線維症の検査と診断
特発性肺線維症は、他の特発性間質性と経過や治療法がことなるために、特発性肺線維症とその他の特発性間質性肺炎を区別することが大切です。特発性肺線維症の診断には、詳しい問診や身体所見を取った後に、胸部X線写真、呼吸機能検査、血液検査(KL-6など)、HRCT(高分解能CT)などの検査を行います。特発性肺線維症に典型的な臨床所見が認められなかった場合には、気管支鏡検査や外科的肺生検の適応を検討します。
特発性肺線維症の検査と診断は、呼吸器内科医、呼吸器外科医、リウマチ科医、画像診断医、病理医による緊密な連携が重要であるために、当院のような専門施設で行うことが好ましいとされております。

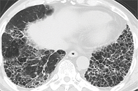
HRCTにおける特発性線維症の特徴
- 胸膜直下、肺底部優位
- 網状影
- 蜂巣肺(牽引性気管支拡張を伴うことも伴わないことも)
- 特発性肺線維症に合致しない所見をもたないことも
クライオバイオプシー(凍結生検)
県立広島病院では2019年3月に、広島県で初めてクライオバイオプシーを導入しました。クライオバイオプシーとは、気管支鏡下にクライオプローブを目的部位まで到達させ、組織を凍らせて採取する新しい方法です。従来の検査法に比べて採取組織を凍結させることで、挫滅の少ない、より大きな組織が多く採取できるために、間質性肺炎の診断率が高くなります。
特発性肺線維症の治療
特発性肺線維症は、難治性の病気といわれています。そのため、特発性肺線維症に対する治療の目標は病気の進行を抑え、呼吸の機能を保つことです。近年では、抗線維化薬が特発性肺線維症の新規治療薬として登場し、その効果が国際的な大規模臨床試験でも証明されております。
抗線維化薬の副作用としては、下痢、消化器症状、肝障害、光線過敏症などを認めることがありますが、抗線維化薬の減量、対症療法などでほとんどの症例では治療の継続が可能です。当院では特発性肺線維症に対しては、積極的に抗線維化薬を用いることにより、治療成績を向上させるように心がけております。
特発性肺線維症の治療のパラダイムシフト
抗炎症薬から抗線維化薬へ

原因不明の慢性労作性呼吸困難、咳嗽、吸気時の捻髪音、ばち状指などの特発性肺線維症を示唆する徴候および症状を認める症例は、気軽にご紹介していただければ、適切な治療を開始したいと思います。
