間質性膀胱炎について
Q.間質性膀胱炎とは何ですか?
- 間質性膀胱炎とは、「膀胱の非特異的な慢性炎症を伴い、頻尿・尿意亢進・尿意切迫感・膀胱痛などの症状を呈する疾患」と間質性膀胱炎診療ガイドラインでは定義されています。
- 頻尿、恥骨部痛、膣痛などが主な症状で、概して難治性です。
- 確立された治療法は少なく、わが国でも指定難病となっています。
Q.症状にはどのようなものがありますか?
- 頻尿・夜間頻尿、尿意亢進、尿意切迫感、膀胱不快感、膀胱痛などが主体です。
- 不快感・痛みの部位は膀胱・尿道が多く、膣・外陰部・腰部などに及ぶこともあります。
- 膀胱に尿がたまった時や冷えた時のほか、刺激物の摂取や精神的なストレスでも悪化します。
- 症状出現から間質性膀胱炎と診断されるまでに数年以上を要することが多いのが現状です。
Q.間質性膀胱炎の原因は何ですか?
- 膀胱の非特異的な慢性炎症が持続する理由は不明です。
- 仮説として、膀胱上皮の透過性亢進(上皮細胞間の接着機構の不全、Glycosaminoglycan-layerと呼ばれる尿に対するバリアの破綻など)、自己免疫疾患、アレルギー、知覚神経の活性化などが考えられています。しかし、詳細はまだ不明です。
Q.間質性膀胱炎は多く認める疾患ですか?
- 欧米では、ありふれた病気と考えられています。
- 本邦の患者数は約4,500人で、難病対象となるハンナ型がその45%(約2,000人)でした。
- 男女比は1:5.6と女性に多く認められます。
- われわれの調査では、診断基準や症例数、治療法が医療施設により大きく異なり、若年者、男性、小児においても認められます。
加藤昌生ほか:広島医学 57:847-849,2004.
- M. Kajiwara et al.: 29th Congress of the Societe Internationale d’Urologie. Paris, Palais des congres de Paris.
- M. Kajiwara et al.: 2nd International Consultation on Interstitial Cystitis, Japan (ICICJ), Kyoto, Japan.
- M. Kajiwara et al.: 35th. Annual meeting of the International Continence Society. Canada, Montreal.
Q.診断にはどのようなものがありますか
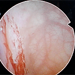
わが国では、ハンナ病変(正常の毛細血管構造を欠く特有の発赤粘膜)または膀胱水圧拡張後の点状出血の確認が重要視されています。





Q.わが国の診療ガイドラインでの診断基準は?
下の3点を診断基準としています。
- 頻尿、尿意亢進、尿意切迫感、膀胱不快感、膀胱痛などの症状がある。
- 膀胱内にハンナ病変または膀胱拡張術後の点状出血を認める。
- 上記の症状や所見を説明できる他の疾患や状態がない。
例:過活動膀胱、膀胱癌、細菌性膀胱炎、放射線性膀胱炎、結核性膀胱炎、薬剤性膀胱炎、膀胱結石、前立腺肥大症、前立腺癌、前立腺炎、尿道狭窄、尿道憩室、尿道炎、下部尿管結石、子宮内膜症、膣炎、神経性頻尿、多尿など。
Q.治療はどのようなものがありますか?
- 病態説明や食事指導が第一選択肢となります。
- 内服治療薬;鎮痛薬、抗うつ薬、抗アレルギー薬、免疫抑制剤などがあります。
- 膀胱内薬物注入治療;ヘパリン、DMSO、ステロイド、ボツリヌス毒素膀胱壁内注入があります。
- 治療抵抗性で症状が非常に強い場合、膀胱全摘術が選択されることもあります。
Q.内視鏡的治療はどのようなものがありますか?
- 膀胱水圧拡張術は保険で認可された唯一の治療法です。
- ハンナ病変を認める場合、電気やレーザーによる焼灼術が行なわれ、疼痛に対しては有用な治療法と考えられています。




Q.治療効果はどうでしょうか?
- 膀胱水圧拡張術は診断、治療として有用ですが、治療効果は約6ヶ月と言われています。
- ハンナ病変に対する電気焼灼術は、疼痛に対しては有用な治療法と考えられています。

(術後速やかに疼痛は減少し、治療効果は12ヶ月以上持続)
M. Kajiwara, et al. IJU 21 (Suppl 1), 57–60. 2015.
Q.予後はどのようなものですか?
- 膀胱水圧拡張術、ハンナ病変の焼灼術により、約半数の症例で症状の寛解をみます。
- しかし、長期的に寛解するのは一部の症例で、多くの症例で再治療や追加治療が必要となります。
- 再発例に対する再度の胱水圧拡張術、ハンナ病変焼灼術は概して有用で、膀胱内への薬物注入治療も施行しながら、長期にわたる医学管理が必要となることが多くあります。
Q.日常の注意すべきことはどのようなものですか?
- 症状には波があります。病気について理解し、日々のストレスを避けることが有効です。
- 膀胱粘膜に刺激が強い食品(ショウガ、わさび、唐辛子、こしょう、シナモン、コーヒーなど)は可能な限り回避すべきで、尿を酸性化する食品(柑橘類、炭酸飲料)も避けたほうがよいとされます。
- 尿を希釈するために、十分な水をとると良いと考えられています。
Q.指定難病とはどのようなものですか?
- 平成27年1月1日から、間質性膀胱炎(ハンナ型)が厚労省の指定難病となりました。
- ハンナ病変を伴うハンナ型間質性膀胱炎の患者の方は、医療費(調剤医療費を含む)の補助を受ける事が出来ます。
- 登録には、難病指定医による臨床調査個人票の記載が必要で、当院には難病指定医が常勤しています。